mucoderm
ACELULÁRNÍ DERMÁLNÍ KOLAGENOVÁ MATRICE
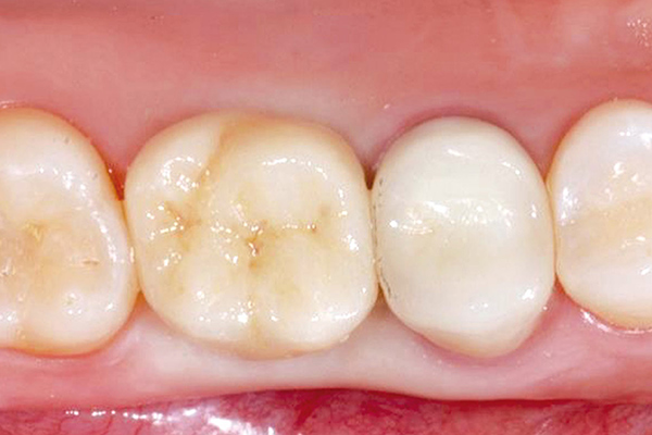
mucoderm® je acelulární kolagenová matrice, která nabízí bezpečnou alternativu k autologním transplantacím měkkých tkání pro různé indikace augmentace měkkých tkání. Mucoderm® je derivát z prasečí dermis, která prochází vícestupňovým procesem čištění, při kterém jsou odstraněny všechny nekolagenní proteiny a buňky a také potenciální imunogeny, bakterie a viry. Výsledkem zpracování je trojrozměrná stabilní matice, která se skládá z kolagenu typu I a III s přirozenou kolagenovou strukturou, podobnou lidské pojivové tkáni. Po implantaci je mucoderm® kontinuálně remodelován a nahrazen vlastní kvalitní měkkou tkání pacienta.
LEŠENÍ PRO ZARŮSTÁNÍ BUNĚK A CÉV
INDIKACE
IMPLANTOLOGIE, PARODONTOLOGIE A ORÁLNÍ A CMF
- Léčba gingiválních recesí
- Augmentace měkkých tkání v kombinaci s GBR / GTR
- Rozšíření připojené gingivy (místo FGG)
- Uzavření hrdla extrakční rány (technika uzavření hrdla)
- Zhutnění měkké tkáně u periimplantitidy
VLASTNOSTI
- Rychlá revaskularizace a tkáňová integrace
- Regenerace / augmentace měkkých tkání bez nutnosti odběru palatálního autotransplantátu
- Kompletní remodelace do vlastní tkáně pacienta za ~ 6-9 měsíců
- Lze jej snadno aplikovat a zafixovat stehy
- Lze řezat/stříhat na požadovaný tvar
KE STAŽENÍ
- mucoderm product brochure
- mucoderm INSIDE
- mucoderm for soft tissue thickening
- mucoderm Surgical Guide
- mucoderm and Straumann Emdogain Surgical Guide – Zucchelli technique
- Root Coverage with Straumann Emdogain and mucoderm
- FAQ mucoderm
- mucoderm – Literature list
- Clinical Study / science flash mucoderm Zafiropoulos
- Patient information mucoderm
- Patient information bone augmentation with biomaterials
- Patient information socket preservation
- EC-Certificate EC Design Examination Certificate 93/42/EEC mucoderm
- botiss product portfolio
VIDEO
Periodontal plastic surgery with mucoderm® & Straumann® Emdogain®
KLINICKÉ STUDIE
WEBINÁŘE
Expertise in tissue regeneration requires constant innovation, training and exchange among specialists.
ALL EDUCATIONAL TRAININGS AND WEBINARS
on botiss-CAMPUS.com
DETAILNÍ INFORMACE
NEJVYŠŠÍ BEZPEČNOST
NATIVNÍ KOLAGENOVÁ STRUKTURA MEMBRÁNY MUCODERM®
To je základem pro jeho vynikající manipulační vlastnosti, jako je odolnost proti roztržení a rozměrová stabilita. Zachování přirozené struktury je také důvodem, že struktura membrány mucoderm® silně připomíná architekturu lidské dermis, což z matrice činí vhodnou alternativu k autologním transplantacím měkkých tkání.
VYSOKÁ BIOKOMPATIBILITA MUCODERM®
Mucoderm® by měl být ponechán pouze k otevřenému hojení, pokud je zajištěna revitalizace z okolního nebo podkladového lůžka rány. Při použití v pokrytí recese je třeba se vždy vyhnout expozici. Otevřené hojení je možné v případě vestibuloplastiky, pokud je mukoderm® přišitý do periostu. V tomto případě by mukoderm® měl být těsně připevněn k periostu. To usnadňuje zvětšení šířky připojené dásně, ale nikoli zesílení tkáně. Otevřené hojení je také možné, pokud jsou vystaveny pouze malé části matrice a revaskularizace je zajištěna okolními okraji chlopně nebo podkladovým periostem. Pamatujte, že doba degradace závisí na rozsahu expozice a bude rychlejší v důsledku bakteriální dekontaminace a resorpce.
REHYDRATAČNÍ PROTOKOL
mucoderm® by měl být aplikován vždy po rehydrataci (ve sterilním fyziologickém roztoku, nebo krvi pacienta). Rehydratace by měla být prováděna ve sterilním solném roztoku nebo krvi pacienta po dobu pěti až 20 minut, v závislosti na použité technice a požadované flexibilitě matrice. Flexibilita štěpu Mucoderm® se zvyšuje s dobou rehydratace. Rehydratační protokol a jeho vliv na biomechanické vlastnosti Mucoderm® byly analyzovány ve studii prof. Dr. Adriana Kasaje.
ÚPRAVA A TVAROVÁNÍ MUCODERM®
Velikost a tvar matrice by měly být přizpůsobeny velikosti defektu. Po rehydrataci lze mucoderm® snadno ořezat a tvarovat na požadovanou velikost a tvar pomocí skalpelu nebo nůžek. Řezání nebo zaoblování okrajů mukodermové matrice může zabránit perforaci gingivální tkáně během uzavření chlopně.
Pro pokrytí vícesekcesních defektů lze povrch mucoderm® prodloužit řezáním matrice na střídavých stranách (technika mesh-graft) a tahem.
FIXACE MUCODERM®
Po aplikaci by měl být mucoderm® vždy stabilizován, aby nedocházelo k mikroskopickým pohybům a bylo zajištěno nerušené oživení, např. zarůstání cév a buněk.
Při přípravě dělené chlopně by měl být mucoderm® přišitý k neporušenému periostu, aby byl zajištěn těsný kontakt mezi matricí a periosteálním ložem rány. Doporučuje se použití vstřebatelných stehů.
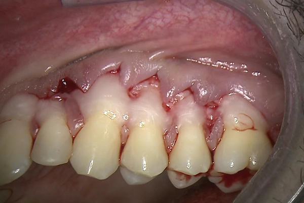
PŘÍPRAVA KLAPKY PRO POKRYTÍ RECESE
Mucoderm® lze použít v kombinaci se všemi mukogingiválními chirurgickými technikami, včetně koronálně pokročilých flap a tunelových technik. Klasická koronálně pokročilá chlopeň nebo modifikovaná koronálně pokročilá chlopeň zajišťují dobrý výhled na připravené donorové lůžko a usnadňují koronální přemístění chlopně přes matrici.
Pokročilé chlopně je třeba dostatečně mobilizovat, aby nedocházelo k napínání měkké tkáně: Při aplikaci mukodermu® na pokrytí recese je třeba věnovat zvláštní pozornost dosažení dostatečné mobilizace chlopní a uzavření bez napětí.
Správné cévní zásobení z připravené chlopně [6]je zásadní pro dosažení náležité revaskularizace matrix Mucoderm®. Zejména dělené chlopně musí být dostatečně silné, aby zajistily revitalizaci matrice a integraci do pacientovy vlastní pojivové tkáně.
SPECIFIKACE PRODUKTU
| Art.-No. | Size | Content |
|---|---|---|
| 701520 | 15 × 20 mm | 1 × matrix |
| 702030 | 20 × 30 mm | 1 × matrix |
| 703040 | 30 × 40 mm | 1 × matrix |
| 710210 | Ø 10 mm | 1 × punch |
Kontaktujte nás
Oficiální zastoupení botiss v České Republice
FÉNIX DENTAL, s.r.o.
U Pekařky 314/1, 180 00 Praha 8
IČO:25673173
DIČ:CZ25673173
Telefon: +420 266 310 802
E-mail: eshop.prodej@fenixdental.cz
LITERATURA
[2] Pabst AM, Wagner W, Kasaj A, Gebhardt S, Ackermann M, Astolfo A, Marone F, Haberthür D, Enzmann F, Konerding M A. Synchrotronbased X-ray tomographic microscopy for visualization of three-dimensional collagen matrices. Clin Oral Investig 2015, 19(2):561-4.
[3] Rothamel D, Benner M, Fienitz T, Happe A, Kreppel M, Nickenig HJ and Zöller JE Biodegradation pattern and tissue integration of native and cross-linked porcine collagen soft tissue augmentation matrices – an experimental study in the rat. Head and Face 2014, 10:10.
[4] Kasaj A, Levin L, Stratul SI, Götz H, Schlee M, Rütters CB, Konerding MA, Ackermann M, Willershausen B, Pabst AM.The influence of various rehydration protocols on biomechanical properties of different acellular tissue matrices. Clin Oral Invest. 2015.
[5] Pabst AM, Happe A, Callaway A, Ziebart T, Stratul SI, Ackermann M, Konerding MA, Willershausen B, Kasaj A. In vitro and in vivo characterization of porcine acellular dermal matrix for gingival augmentation procedures. Periodont Res. 2014, 49(3): 37-81
[6] Mörmann W, Ciancio SG. Blood supply of human gingiva following periodontal surgery. A fluorescein angiographic study. J Periodontol. 1977 Nov;48(11):681-92



